top of page

Traumatologie




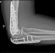
Post-opératoire (6 mois)



Fracture complexe du coude
​
​
Prise en charge des traumatismes
A côté de la chirurgie orthopédique programmée électivement, notre discipline prend en charge également les divers traumatismes touchant les structures osseuses et musculo-tendineuses constituant l'appareil locomoteur (les 4 membres et la colonne vertébrale).
Un suivi s'avère toujours nécessaire pour accompagner le patient victime d'un trauma pour récupérer son autonomie.
-------------------------------

Double fracture de l'humérus
​
​

Fracture du fémur
​
​
bottom of page
